Riflettori clinici | Nuva Flow Diverter nel trattamento di un aneurisma dell'arteria comunicante posteriore
-
2025-12-18
-
Lepu
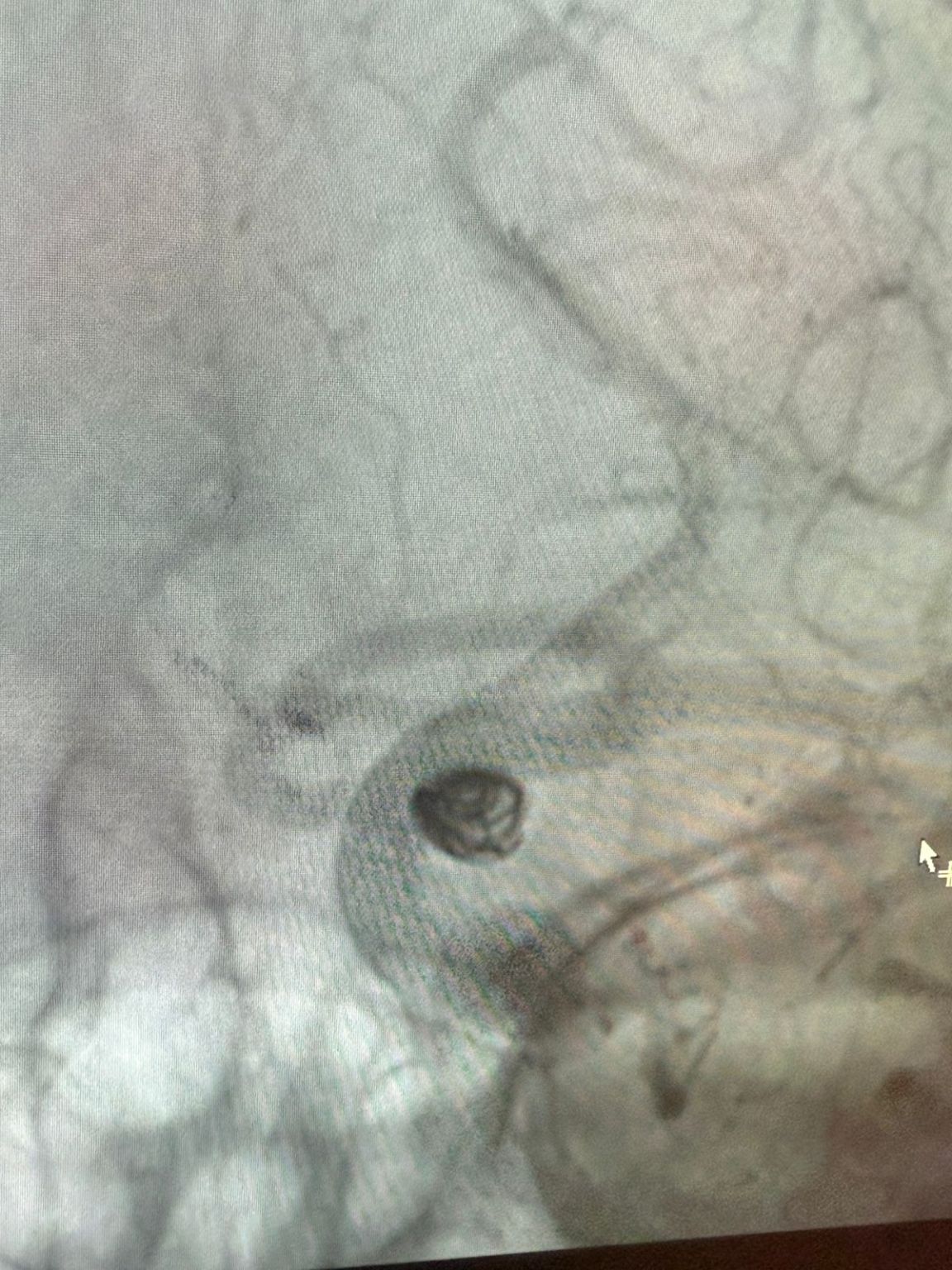
Siamo lieti di condividere una recente procedura di successo presso Clínica Alma Mater, Medellín, eseguita dal Dr. Jorge Mutis.
Il trattamento ha utilizzato la Nuva®Deviatore di flusso (TJED-D 5.0-14), Perdenser®Bobina 3D e Fepass®Microcatetere (TJMC18 Plus) per un aneurisma dell'arteria comunicante posteriore.
Insight clinico:
Il dottor Mutis ha evidenziato l'eccellente visibilità del dispositivo e ha notato che il recupero è stato regolare. Ha espresso grande soddisfazione per l'esito finale.
TJWY Medical è dedicato a fornire soluzioni neurovascolari affidabili e di alta qualità per supportare i medici nel fornire la migliore assistenza ai loro pazienti. Apprezziamo sinceramente la fiducia e la collaborazione del Dr. Mutis e del team nella scelta dei nostri prodotti per questo caso.




