Riflettori clinici | Nuva®Deviatore di flusso per la gestione aneurisma ricorrente
-
2025-08-04
-
LEPU
Paziente: maschio, 58 anni
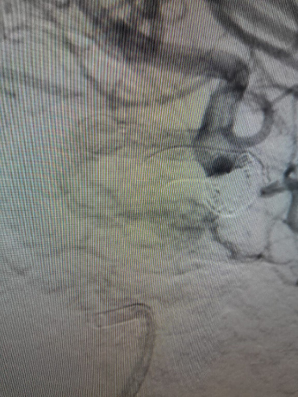
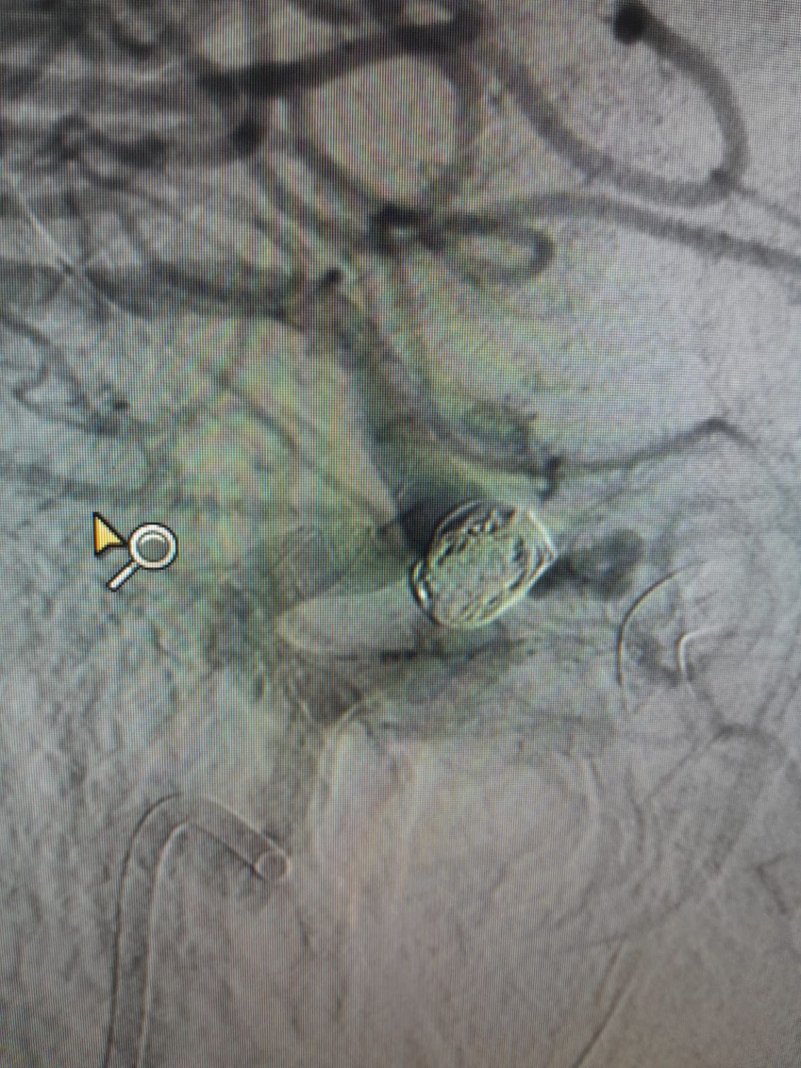
Diagnosi: aneurisma dell'arteria comunicante posteriore destra, precedentemente trattato con embolizzazione della bobina
Procedura:
La procedura è stata eseguita con successo presso la Clinica Centenario dal Dr. Rivera, con il supporto del loro team clinico. L'accesso vascolare è stato stabilito tramite puntura dell'arteria femorale. Un microwire è stato accuratamente navigato verso il sito di destinazione, seguito dal regolare avanzamento del Frepass®Microcatetere monouso (TJMC18 Plus). Dopo una precisa misurazione dell'aneurisma, un Nuva®Flow Diverter (TJED-D-4.5-14) è stato selezionato e distribuito con successo sul collo dell'aneurisma.
La procedura è stata completata senza complicazioni, e la Nuva®Il dispositivo ha dimostrato un eccellente effetto di deviazione del flusso e dell'apposizione della parete. Il team clinico ha altamente riconosciuto la gestione e le prestazioni del dispositivo.
Perché Nuva®?
1. Nuva®Flow Diverter offre una navigazione fluida, anche in navi precedentemente trattate con bobine.
2. Il dispositivo garantisce una distribuzione affidabile e un'eccellente apposizione della parete.
3. Nuva®Promuove un'efficace diversione del flusso e supporta la ricostruzione dell'arteria madre a lungo termine.
4. Semplifica le procedure di ritattamento e riduce la complessità procedurale.
5. Nuva®Fornisce una radiopacità coerente a lunghezza intera, garantendo un'esecuzione regolare della procedura.
Questo caso dimostra ulteriormente che Nuva®Fornisce ai medici una soluzione affidabile ed efficiente per la gestione degli aneurismi ricorrenti con precisione e sicurezza.
Contact us>>Marketing@lepu-medical.com
Visit lepumedical website for more >>En.lepumedical.com





