Riflettori clinici | Trattamento multi-aneurisma con Nuva®Deviatore di flusso e perdensatore®Sistema di bobine emboliche
-
2025-07-23
-
LEPU
Paziente: femmina, 48 anni
Al paziente è stato diagnosticato un aneurisma sacculare dell'arteria comunicante anteriore (AComA) appena scoperta e un aneurisma dell'arteria comunicante posteriore (PComA) che era stato precedentemente trattato con embolizzazione della bobina. L'imaging di follow-up ha rivelato il riempimento residuo dell'aneurisma PComA, che richiede un intervento aggiuntivo.
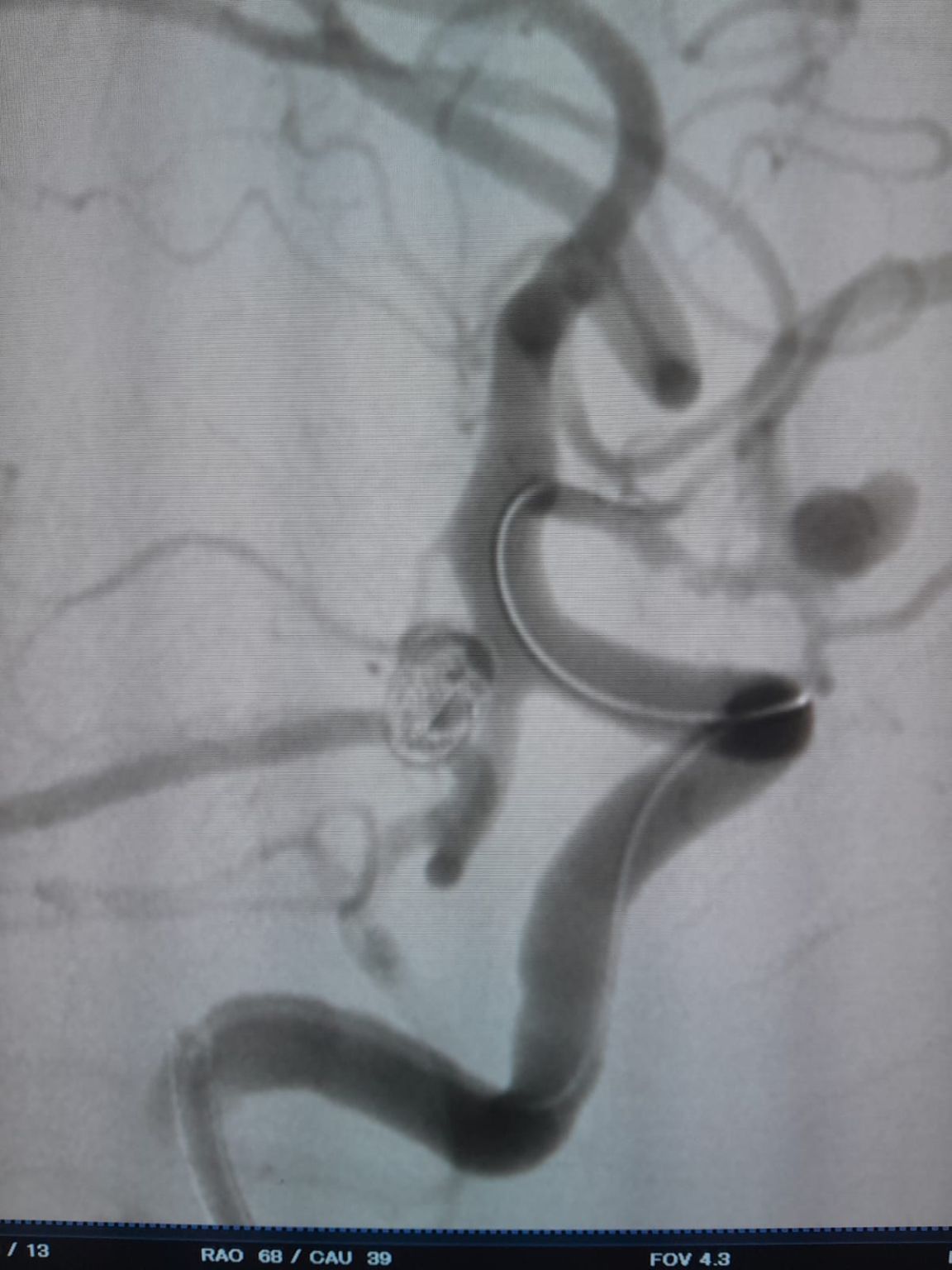
Procedura
Aneurisma dell'arteria comunicante anteriore
È stato stabilito l'accesso vascolare e il team ha quindi navigato con successo nel Fepass®Microcatetere monouso (TJMC14) al sito di destinazione. L'embolizzazione è stata eseguita utilizzando tre Perdenser®Embolic Coil System (TJCST4.508-3D, TJCST0306-3D, TJCST0206-3D) implementato con Deromper®Controller di distacco della bobina (TJCDC).
Aneurisma dell'arteria comunicante posteriore (ri-trattamento)
Durante il follow-up, è stato notato un riempimento residuo nell'aneurisma dell'arteria comunicante posteriore precedentemente trattato. Il team è rientrato nel sito utilizzando Frepass®Microcatetere monouso (TJMC18 Plus) e implementato con successo un Nuva®Flow Diverter (TJED-D-4.5-16), che ha dimostrato l'apposizione ideale della parete e l'eccellente deviazione del flusso, portando a risultati del trattamento altamente soddisfacenti.
Perdenser®E Nuva®-Soluzioni affidabili per la gestione complessa dell'aneurisma
Perdenser®: Embolizzazione precisa e ad alta densità
Eccellente conformabilità e alta densità di imballaggio per un'occlusione aneurisma stabile.
Una gamma completa di dimensioni per l'inquadratura, il riempimento e la finitura.
Deromper®Sistema di distacco fornisce un meccanismo di rilascio istantaneo sicuro e affidabile.
Nuva®: Soluzione efficace per aneurismi ricorrenti
Una soluzione efficace per aneurismi con riempimento residuo o recidiva dopo l'avvolgimento iniziale.
Navigazione fluida e distribuzione affidabile.
Eccellente apposizione della parete e deviazione stabile di flusso.
Nuva®Semplifica il ritrattamento, riduce la complessità procedurale e migliora i risultati a lungo termine.
Dr. Rivera highly praised the handling, deliverability, and clinical results of TJWY's products, emphasizing their efficiency and reliability in complex aneurysm interventions. The smooth procedural experience and favorable imaging outcomes further strengthened his confidence in TJWY's neurointerventional solutions.
Contact us>>Marketing@lepu-medical.com
Visit lepumedical website for more >>En.lepumedical.com




