Riparazione VSD biodegradabile di MemoSorb: salvaguardare la crescita nella complessità anatomica
-
2025-04-28
-
LEPU
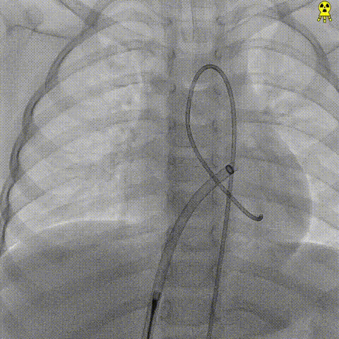
When faced with a complex congenital heart defect in a 2-year-old, how do we balance efficacy with lifelong safety? Meet a pediatric patient with a membranous ventricular septal defect (VSD) accompanied by pseudoaneurysm formation (basal width: 8.2 mm, shunt: 3.5 mm) and left ventricular false tendon—a rare and anatomically challenging scenario. Over two years of 5-time's follow-up, she was all diagnosed with typical membranous VSD, with a high-velocity left-to-right shunt (peak velocity: 5.1 m/s, gradient: 104 mmHg) and mild tricuspid regurgitation. Traditional metal occluders risk interfering with adjacent structures like the false tendon, potentially causing thromboembolism or valve dysfunction. But innovation stepped in: A memosorb fully biodegradable occluder was chosen. Why? 1. Adaptive design: Conforms to complex VSD anatomy, ensuring stability. 2. Degrades over time: Eliminates long-term risks of metal implants. 3. Preserves future options: No permanent hardware for a growing child. This case highlights the power of patient-centered innovation in congenital heart disease. Collaboration between imaging experts, interventional cardiologists, and families is key to navigating these high-stakes decisions.
Contact us>>Marketing@lepu-medical.com
Visit lepumedical website for more >>En.lepumedical.com


