Condivisione dei casi | Chiusura PFO a tunnel lungo con occludatore biodegradabile MemoSorb
-
2025-04-28
-
LEPU
30-Year Migraine Relief & 1-Year Follow-Up: Long-Tunnel PFO Closure with MemoSorb Biodegradable Occluder
Today, we share a remarkable case highlighting 1-year post-op outcomes of MemoSorb in treating a complex long-tunnel PFO (12mm length, 1.4mm width), with a focus on serial echocardiographic evidence of device degradation and clinical symptom resolution.
Punti salienti del caso
Profilo del paziente: 53F, storia trentennale di emicrania (spesso unilaterale, che dura da ore a giorni), 2 episodi sincopali.
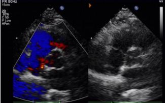
Diagnosi: studio positivo sulla bolla.
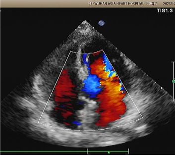
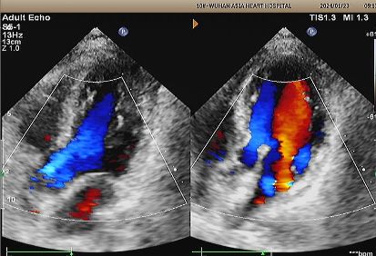
Impianto: 2424 MemoSorb®Occlusione PFO biodegradabile distribuita sotto la guida di eco e DSA.
Principali risultati di follow-up per l'imaging
Da 1 a 9 mesi da giorno:
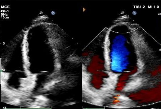
Nessuno shunt residuo osservato.
Riduzione graduale dell'ecogenicità del dispositivo.
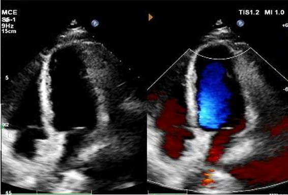
Echo di 1 anno:
No visible disc structures – replaced by 8mm tissue thickening at the septal implant site.
Zero residual shunt (rest or post-Valsalva).
Assorbimento completo del dispositivo confermato.
Risultati clinici:
1. Migraine frequency/severity significantly reduced post-implant.
2. No recurrence of syncope or neurological symptoms.
3. Patient-reported improved quality of life.
Contact us>>Marketing@lepu-medical.com
Visit lepumedical website for more >>En.lepumedical.com




