Condivisione del caso | Chiusura biodegradabile ASD sotto guida solo TTE in un paziente coronarico anomalo
-
2025-08-11
-
LEPU
At Fuwai Hospital Shenzhen, Dr. Lu Yaoxing's team recently performed a successful transcatheter closure of a secundum atrial septal defect (ASD) using a MemoSorb biodegradable occluder in a 34-year-old male patient with a rare coronary anomaly.
Informazioni chiave sul caso:
1. L'ASD era centrale nella posizione, con un diametro misurato di circa 8,1mm (vista bicavale) e 8,2mm (vista aortica ad asse corto).
2. Il CTA coronarico ha rivelato un'origine anomala dell'arteria circonflessa sinistra (LCX) dal seno coronarico destro, con un decorso tra l'aorta e l'atrio sinistro.
3. La distanza tra l'ASD e l'aberrante LCX era solo di circa 6mm.
4. Non c'era il bordo aortico e i cerchi inferiore e posteriore erano relativamente morbidi.
Data la vicinanza del difetto all'arteria coronaria, un occlusione metallica tradizionale rappresentava un rischio di compressione, specialmente durante lo sforzo fisico. È stato quindi selezionato un occlusore ASD biodegradabile (BDASD-I 18mm) per la sua flessibilità, il minor rischio di lesioni meccaniche a lungo termine e la capacità di degradarsi in anidride carbonica e acqua dopo aver completato la funzione di chiusura.
La procedura è stata guidata da TTE seguendo la procedura PAN sviluppata presso il Fuwai Hospital. Questa tecnica di imaging in tempo reale senza radiazioni offre una visualizzazione anatomica ad alta risoluzione, garantendo un posizionamento accurato del dispositivo e riducendo al minimo le complicanze, particolarmente preziose nei pazienti giovani in età riproduttiva.
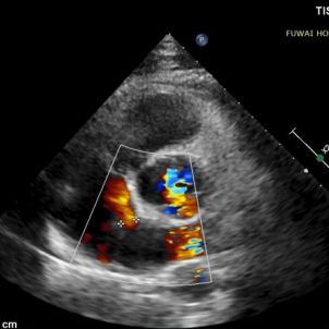
1-day postoperative TTE revealed that the occluder is in good shape without residual shunt (see last figure).
Contact us>>Marketing@lepu-medical.com
Visit lepumedical website for more >>En.lepumedical.com



