Casa>Notizie
Seguito di 2 anni | MemoSorb Biodegradabile ASD Occluder
-
2025-08-11
-
LEPU
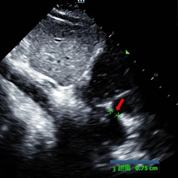
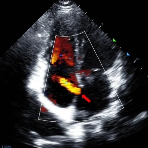
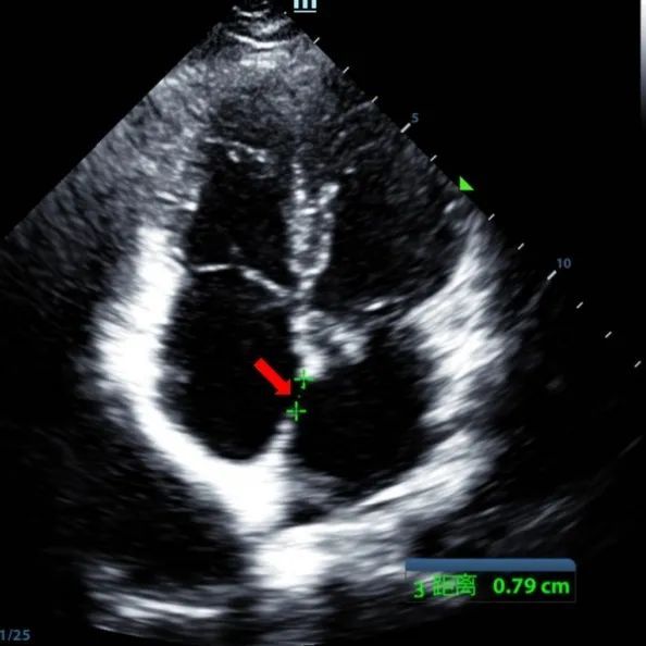
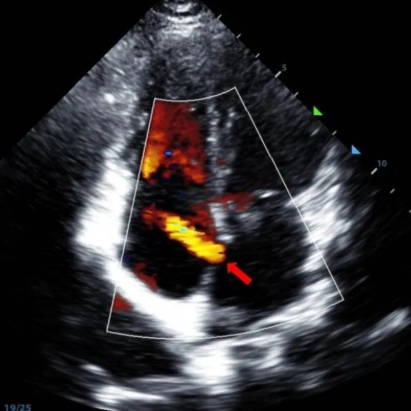
Un maschio di 9 anni con secundum ASD (7,5-7,9mm) è stato trattato utilizzando un sistema di occlusione da 12mm BDASD-I MemoSorb e un sistema di somministrazione 12F. Non sono state rilevate complicazioni o comorbidità prima della procedura.
Serial echocardiographic follow-ups showed stable device position and favorable cardiac remodeling. Gradual degradation confirmed the occluder's long-term safety and efficacy.
Contact us>>Marketing@lepu-medical.com
Visit lepumedical website for more >>En.lepumedical.com




