Condivisione del caso | Frattura dell'omero diafisale del terzo medio-distale
-
2025-05-12
-
LEPU
Procedura: Osteosintesi percutanea della placca minimamente invasiva (MIPPO) tramite l'approccio anteriore con sistema Ortho-ponte
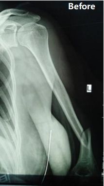
Panoramica del caso: a una paziente di 48 anni è stata diagnosticata la frattura del terzo medio-distale dell'albero omerale sinistro (classificazione AO: tipo B1).
Il team chirurgico ha optato per l'osteosintesi delle placche minimamente invasiva (MIPO) tramite l'approccio anteriore utilizzando un sistema ortico-ponte (OBS). L'intervento è stato completato con successo entro 90 minuti, con una perdita di sangue stimata di circa 150 ml e una lunghezza dell'incisione di circa 8 cm.
Non è stata richiesta alcuna fissazione esterna dopo l'intervento e il giorno successivo il paziente ha iniziato gli esercizi di mobilizzazione delle articolazioni del gomito per prevenire la rigidità e le aderenze articolari.
Vantaggi di OBS:
1. Configurazione flessibile-Personalizzata facilmente per soddisfare le diverse esigenze cliniche.
2. Minimamente invasivo-Riduce il trauma chirurgico per un recupero più rapido.
3. Safe & Reliable – Ensures secure fixation with high mechanical stability.
4. Multi-applicazione-Progettato per l'uso in diverse parti del corpo.
Contact us>>Marketing@lepu-medical.com
Visit lepumedical website for more >>En.lepumedical.com




