Case Sharing | MemoSorb biodegradable PFO occluder successfully tackles the 33mm ultra-long tunnel PFO closure
-
2024-12-27
-
LEPU
Case Sharing | MemoSorb biodegradable PFO occluder successfully tackles the 33mm ultra-long tunnel PFO closure
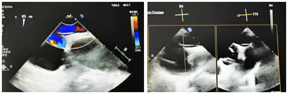
Case Information: A 60-year-old male patient was admitted to the neurology department after experiencing "left-sided limb weakness". The patient underwent a routine transesophageal echocardiogram (TEE), which revealed a patent foramen ovale (PFO) (congenital type, 2.4mm in width, 33mm in length, with moderate shunting). Right heart echocardiography and bubble tests confirmed a grade II shunt.
Clinical Strategy: We chose the BDPFO-I 2828 symmetrical occluder to ensure optimal closure. During the release phase, DSA imaging was used for positioning, while ultrasound guidance was primarily employed to ensure accurate deployment.
Case Summary: Due to the length of the tunnel, conventional catheter guidewires and septal puncture sheath support were not effective. Specifically, a coronary guidewire combined with a septal puncture sheath was used in this case and successfully crossed the septum. When using traditional metallic occluders for long tunnel PFO closures, the rigid material and fixed waist position often prevent the left disc from fully expanding. This can cause the disc to be pulled into the tunnel, leading to residual shunting. In contrast, the biodegradable occluder, with its strong compliance, allowed the waist to fully fill the tunnel and achieve an effective closure.
This successful closure further validates the effectiveness of biodegradable PFO occluders in treating complex PFO cases.
Contact us>>marketing@lepu-medical.com
Visit lepumedical website for more >>en.lepumedical.com



