Buone notizie! il pallone Lepu Vesscrack IVL consente un trattamento di calcificazione coronarica di successo in Cile
-
2025-09-02
-
LEPU
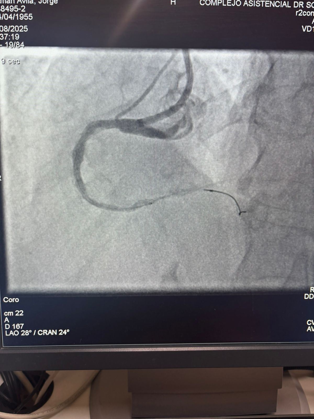
Siamo orgogliosi di condividere un caso straordinario dell'ospedale Sótero del Río, Cile, dove il Dr. Martín Valdebenito ha trattato con successo una lesione fortemente calcificata nell'arteria coronaria destra (prima curva) utilizzando il nostro sistema di catetere di dilatazione del palloncino Vesscrack Coronary IVL.
La procedura ha ottenuto risultati eccezionali, con la regione calcificata effettivamente incrinata e il flusso della nave ripristinato. Questo segna un'altra pietra miliare nell'espansione dell'accesso globale a soluzioni avanzate per la calcificazione coronarica complessa.
Il confronto tra le immagini angiografiche pre-procedura e post-procedura dimostra chiaramente il significativo impatto clinico della nostra tecnologia IVL.
In Lepu Medical, rimaniamo impegnati a fornire ai medici di tutto il mondo soluzioni innovative che trasformano i casi difficili in risultati di successo.
Contact us>>Marketing@lepu-medical.com
Visit lepumedical website for more >>En.lepumedical.com




***This product is presented for academic exchange purpose only and is not intended for sale within European Union.***
