Casa>Notizie
Condivisione del caso | Occlusione cronica CLI trattata con ThorCrack IVL
-
2025-06-06
-
LEPU
Caso clinico sotto i riflettori: occlusione cronica CLI trattata con ThorCrack IVL
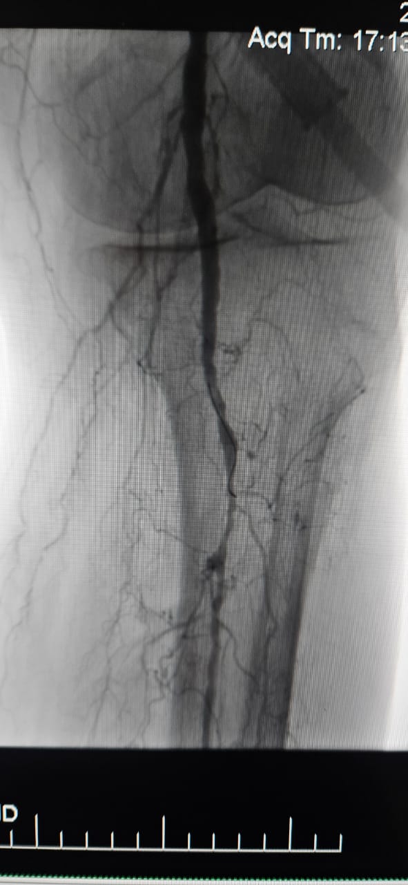
Siamo lieti di condividere un caso di successo da un ospedale di Batumi, in Georgia, dove una paziente di 78 anni con ischemia degli arti critici (CLI) causata dall'occlusione totale cronica dell'arteria degli arti inferiori ha mostrato un notevole miglioramento clinico dopo il trattamento con il Sistema catetere di dilatazione del palloncino IVL periferico ThorCrack.
Informazioni sul catetere di dilatazione del palloncino IVL periferico ThorCrack
Il catetere di dilatazione del palloncino IVL periferico ThorCrack è specificamente progettato per la preparazione della lesione e la dilatazione del palloncino delle stenosi calcificate (≥ 50%) in: arteria Iliaca, arteria femorale, arteria iliofemorale, arteria poplitea, arteria renale, arterie infraoplitee (sotto il ginocchio)
Specifiche chiave:
Impulsi IVL massimi: 300
IVL pulses per cycle: 30 (10 cycles)
Diametri del palloncino (mm): 3.0 / 3.5 / 4.0 / 4.5 / 5.0 / 5.5 / 6.0 / 6.5 / 7.0
Lunghezze del pallone (mm): 40/60
Compatible guidewire: 0.014"
Questo caso sottolinea il valore clinico della litotripsia intravascolare (IVL) nel trattamento di casi CLI complessi con occlusione cronica a segmento lungo, in particolare nei pazienti con calcificazione pesante, dove i palloncini tradizionali o i dispositivi di aterectomia possono avere un'efficacia limitata.
Siamo orgogliosi di vedere ThorCrack IVL che consente ai medici di tutto il mondo di superare le lesioni calcificate, ripristinare la perfusione e migliorare i risultati dei pazienti nella malattia arteriosa periferica complessa.
Contact us>>Marketing@lepu-medical.com
Visit lepumedical website for more >>En.lepumedical.com



